Ortodontia Fixa

A Ortodontia é a especialidade da Medicina Dentária que se ocupa do correcto posicionamento e alinhamento dentário e também da correcta relação e desenvolvimento dos maxilares. Uma das possibilidades mais estudadas para o alcançar é através da ortodontia fixa. Nesta técnica são usados brakets metálicos ou cerâmicos, arcos e elásticos que permitem a movimentação dentária de acordo com o plano de tratamento delineado.

Por norma, a primeira avaliação deve ser realizada aos 6 anos de idade. Nesta altura já estarão erupcionados os molares e incisivos definitivos. No entanto, os seguintes casos podem necessitar de uma avaliação mais precoce:

  hábito de chupeta ou chutar no dedo após os 4/5anos

  presença de mordidas cruzadas

  perda precoce de dentes de leite

  crianças que respirem predominantemente pela boca

Não existe limite de idade para um tratamento ortodôntico. Os seus dentes podem ser movimentados durante toda a sua vida. No entanto, situações em que seja necessária uma correcção ortopédica, devem ser realizadas durante o crescimento dos pacientes.

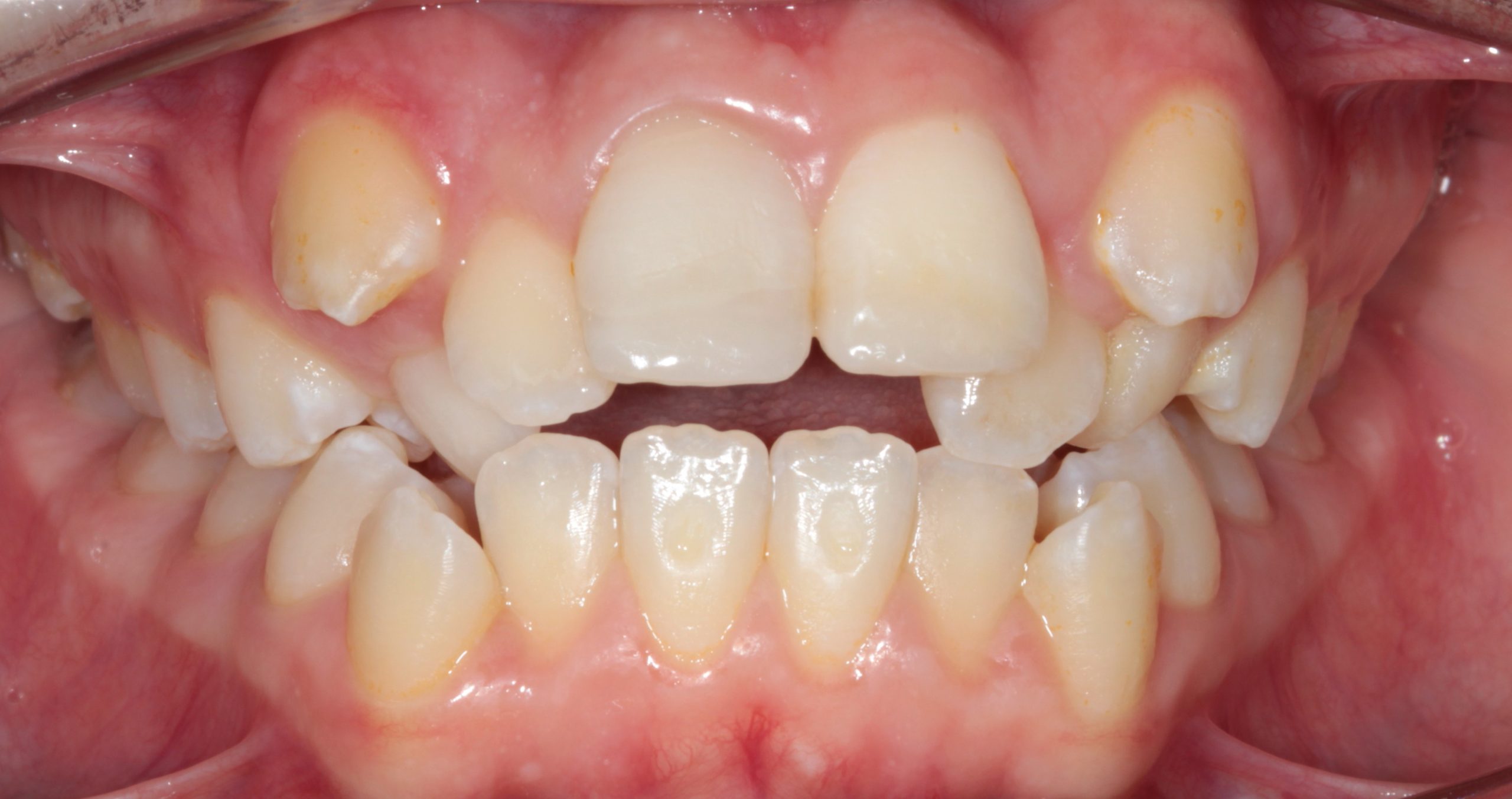
Antes

Depois